欢迎访问开云手机注册_开云(中国)官方网站!

吉姆萨染色

医学实验主要包括分子生物学、细胞生物学、病理学、免疫学的实验;SCI论文主要包括论文翻译、母语润色改写;专利主要包括发明专利、实用新型专利、外观设计专利的申请;专著主要包括单篇学术论文、系列学术论文和学术专著的出版。

吉姆萨染色 当前位置:首页 > 开云手机注册_开云(中国)官方网站 > 医学实验 > 病理学 > 吉姆萨染色

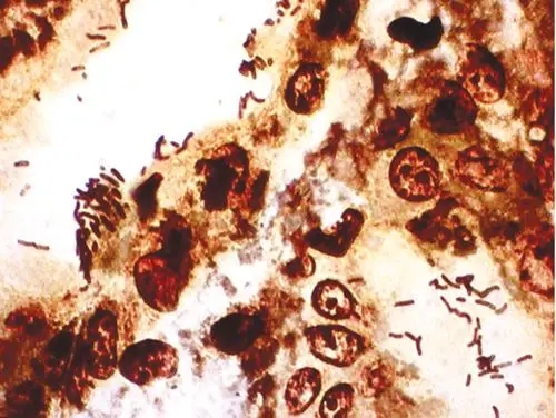
吉姆萨染色:染色原理和结果与瑞特染色法基本相同。但该法对细胞核和寄生虫着色较好,结构显示更清晰,而胞质和中性颗粒则着色较差。为兼顾二者之长,可用复合染色法。即以稀释吉姆萨液代替缓冲液,按瑞特染色法染1

吉姆萨染色

       吉姆萨染色:染色原理和结果与瑞特染色法基本相同。但该法对细胞核和寄生虫着色较好,结构显示更清晰,而胞质和中性颗粒则着色较差。为兼顾二者之长,可用复合染色法。即以稀释吉姆萨液代替缓冲液,按瑞特染色法染10min.或先用瑞特染色法染色后,再用稀释吉姆萨复染。
上一篇:返回列表
下一篇:返回列表
热门推荐
>
<